医療ホワイトニングで白く、清潔感のある口元へ

歯が白いと清潔感が高まり、笑顔の印象もぐっと明るくなります。
昔から“白い歯”は健康や美しさの象徴とされてきましたが、SNSやオンラインでの印象が重視される今の時代、医療ホワイトニングで自然な白さを手に入れる方がますます増えています。

最近では、ホワイトニングサロンやホワイトニングバーなど、歯科医院以外でもホワイトニングを行う施設が増えています。 しかし、「歯科医院で行うホワイトニングとの違いがよくわからない」「ホームホワイトニングとオフィスホワイトニングの違いも知りたい」と感じる方も少なくありません。

このページでは、当院で行うホワイトニングについてお伝えしていきたいと思います。

歯周病でお困りの方へ
歯周病でお困りの方へ

歯科医院とホワイトニングサロンの違い

一番気になることは、歯科医院とホワイトニング専門店で何が違うのか?ということではないでしょうか。まずはその疑問から解決していきたいと思います。

項目 歯科医院 ホワイトニング専門店
使用薬剤 医薬品のホワイトニング剤を使用でき、濃度の選択肢もある 医薬品のホワイトニング剤を使用することができない
効果 歯の黄ばみを改善し、より白い歯を目指すことができる 1回あたりの効果は得にくい
仕上がり 色ムラが少なく、均等に仕上がる 自分でホワイトニングするため仕上がりにムラが出てしまうことがある
回数 組み合わせによって白くなる期間を短くすることができる 希望とする白さになるまで、何度も通う必要がある
痛み 薬剤の濃度によっては、しみたり痛みが出たりする場合がある 医薬品ではないため、しみ・痛みは起こりにくい
歯科治療 ホワイトニングのリスクになりうる、虫歯や歯周炎の治療が可能 歯科治療はできない
費用 セルフホワイトニングと比較すると高い 1回あたりの金額は安い
(希望とする白さにするために回数券を購入する場合がある)

歯科医院で行うホワイトニングでは、医療機関でのみ使用できる薬剤を用いることができ、歯科医師や歯科衛生士による専門的な術前ケアも受けられます。
そのため、安全性と効果の両面で高いホワイトニング効果が期待できます。より確実に、理想的な白さを目指したい方は、ぜひ当院のホワイトニングをご検討ください。

ホワイトニングについてわかっていること

  • 色の違いに満足するまで4〜6週間かかる
  • 薬液濃度によって色調変化に有意差はない
  • オフィスホワイトニングの方が半年後の色の後戻りが大きく、知覚過敏の頻度も高いが、処置時間に対する効果は高い
  • 適正使用時間を守らないと、エナメル質表面の粗造化、脱灰のリスクが高まる
  • 光照射の追加価値は乏しく、知覚過敏のリスクを高めうる可能性がある
  • 効果持続の最適化にはタッチアップ(部分的な追加ホワイトニング)が有効

エビデンス
https://pubmed.ncbi.nlm.nih.gov/26372629/
https://pubmed.ncbi.nlm.nih.gov/30127190/
https://pubmed.ncbi.nlm.nih.gov/21859318
https://pubmed.ncbi.nlm.nih.gov/24929591/

当院の医療ホワイトニングの特徴

ホームホワイトニングからスタート

ホームホワイトニングのほうがオフィスホワイトニングより漂白効果が長持ちすることがエビデンスでわかっています。そのため、当院ではまずホームホワイトニングから行ってもらうことがほとんどです。ホワイトニング効果を確実に実感してもらうため、最初からホワイトニングジェルは4本お渡しします。(適正使用で2~4週間分)

またホームホワイトニングであれば追加のホワイトニングジェルを購入していただくことで、タッチアップ(部分的な追加ホワイトニング)が可能となり、より長期的に綺麗で白い歯を維持することができます。

治療技術に関して

もう一段階白くしたい場合に行う
オフィスホワイトニング

結婚式などのイベントごとでもう一段階白くしたいと思われている方にオフィスホワイトニングを行います。

ホームホワイトニングで白さの下地を作り、オフィスホワイトニングで更にスピード感をアップさせるようなイメージです。

濃度の異なるホワイトニング剤をお渡しします

濃度の高い薬剤のほうが時短にはなりますが、知覚過敏が起きる可能性も高くなるため、患者様の状況によって適宜使い分けていただけるようにしています。
知覚過敏でしみる感覚が強くなれば、いつでも当院でフォローいたしますのでご安心ください。

ホワイトニングの薬剤にもこだわっています

院長の川合がこだわって選別した薬剤【アンジェラス】を使用しています。

有効成分である過酸化尿素が10%または16%配合のホームホワイトニング材で、粘着性が高くマウスピースを装着したときに薬剤が流れにくく均一に行き渡ります。装着時間は10%、16%でそれぞれ2時間、1.5時間となります。

ホワイトニング後の知覚過敏の対処法

ホワイトニング後に「しみる」「ピリッと痛む」と感じることがあります。
これは、薬剤がエナメル質の表面を一時的に通過して歯の神経に刺激を与えることで起こる一過性の知覚過敏です。多くの場合、1〜2日以内に自然におさまりますが、以下のような対処を行うと 回復が早まります。

  • 一時的にホワイトニングを中断する
  • 知覚過敏抑制用の歯磨剤(硝酸カリウム・フッ化物配合など)を使用する
  • 冷たい飲食物を避ける
  • フッ素塗布やコーティング剤の追加ケアを歯科医院で受ける

フッ素塗布やコーティング剤の追加ケアを歯科医院で受ける 知覚過敏は、ホワイトニングによる歯のトラブルではなく、多くの場合は一時的な反応です。適切なケアを行うことで、安全にホワイトニングを継続することができます。

エビデンス
https://pubmed.ncbi.nlm.nih.gov/24929591/

ホームホワイトニングで
歯の白さを引き出した症例

タップで写真の拡大ができます。

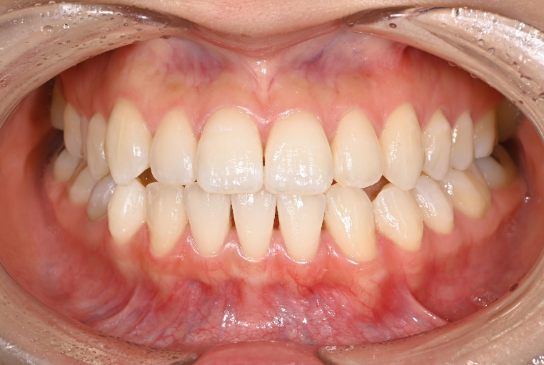
Before
Before
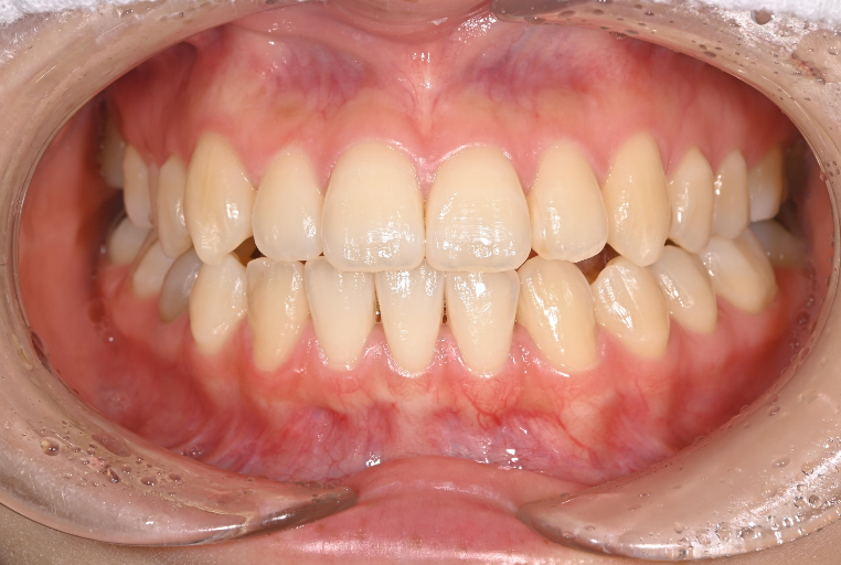
1Week
Before
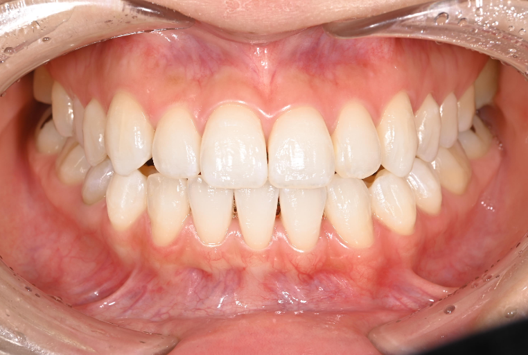
2Week
Before
主訴
歯を白くしたい
治療内容
ホームホワイトニング
治療期間
1ヶ月
治療費用
33,000
治療の
リスク
ホワイトニング後は一時的な知覚過敏症状が生じます、時間が経つと少しずつ後戻りが生じます。

エアフローで着色を落とし
自然な歯の色を取り戻した症例

タップで写真の拡大ができます。

Before
Before
After
Before
主訴
着色が気になる。
治療内容
エアフロー
治療期間
1回
治療費用
5,500
治療の
リスク
重度の呼吸器疾患、一部のパウダーはナトリウム制限が必要な方は実施することができません。

医療ホワイトニングの流れ

検査
安全にホワイトニングが行えるかどうかを確認するため、虫歯や歯周病の時にも行う一般的な検査を行います。
必要に応じて治療
ホワイトニングのリスクとなる虫歯や歯周病があると診断した場合は、まずは治療の提案をさせていただくことがございます。
クリーニング
治療を必要としない場合でも、ホワイトニング効果を阻害する汚れが歯面に付着している場合はクリーニングで除去していきます。
型取り
ホームホワイトニングに使用するマウスピースを作成するための型取りを行います。
マウスピースと薬剤のお渡し
完成したマウスピースと濃度の違う薬剤をお渡しいたします。
経過観察
初診時に比べて色に変化があるかを経過観察いたします。 治療が終了したら、メンテナンスへ移行します。定期的に通院していただきながら、治療の経過を追っていきます。その際、歯科衛生士によるクリーニングを行い、虫歯の再発を予防していきます。

医療ホワイトニングの費用

ホームホワイトニング
(トレー・薬剤4本)
33,000 円(税込)
オフィスホワイトニング
33,000 円(税込)
追加薬剤
5,500 円/2本(税込)

医療ホワイトニングをご検討の方へ

当院では、単に「白くする」ことだけを目的とせず、歯の健康や自然な美しさとのバランスを大切にしています。歯の状態や生活習慣、治療履歴などを丁寧に確認し、医療的に安全で効果的な方法を選択したうえで施術を行います。

また、白さの仕上がりだけでなく、施術中の快適さや持続性にも配慮し、薬剤の管理や照射方法などすべての工程を妥協なく行っています。医療ホワイトニングをご検討の際は、まずお気軽にご相談ください。セカンドオピニオンとしてのご相談も承っております。

新着情報Information

アクセスAccess

浅草線・日比谷線「人形町駅」から徒歩30秒

〒103-0013 
東京都中央区日本橋人形町3丁目8-2 ミハマビル2F