顔貌に調和し、治療したかわからない自然な仕上がりに

「審美歯科」と聞くと、口元の美しさにフォーカスした治療をイメージされると思います。それが医学的に問題ない歯だとしても、患者様や歯科医師個々の”審美眼”に合わせて、歯を削ったり、被せ物をするなどの治療があります。そういった治療は、元には戻らない不可逆的な治療行為であることが多く、後悔される方は少なくありません。

当院で行う審美歯科は医学的に治療介入の必要があり、かつ目に見える場所に対して顔貌に調和した自然な仕上がりを目指します。※医学的に介入の必要があること:虫歯や補綴物の不適合、根管治療のやり直しなど

歯周病でお困りの方へ

当院の審美歯科に対するこだわり

自然な口元を再現する

実際に症例を見ていただくのが最もわかりやすいかと思います。
治療をした歯だとは気づきにくい仕上がりになっていることがわかると思います。

大切なのは、顔貌との調和が取れた自然な仕上がりになっていることです。

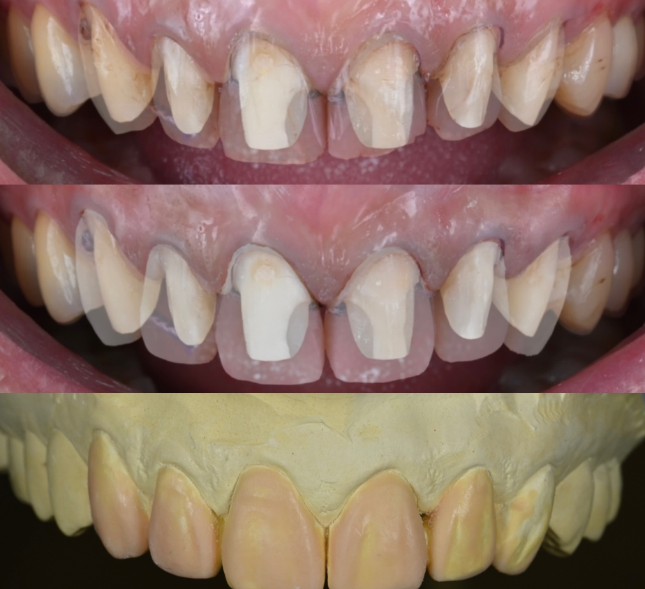
ビフォー画像
アフター画像
ビフォー画像
アフター画像

審美歯科を医学的に正しく行う

当院の審美歯科は、医学的に正しい治療を行うことがベースとなっています。その理由は、見栄えという短期的な治療成果だけに目を向けた治療では長期的に良好な結果を得られないからです。

たとえ綺麗な建物でも、見えていない部分で基礎が脆かったり、内部構造に欠陥があるとたちまち綻びが現れます。

被せ物だけ変えることで見た目はよくなります。しかしその内部や根尖部に問題や今後問題が起きうる可能性がある場合、長期的な予後も見据えてしっかりとご説明した上でどこまで介入するのか一緒に検討します。

あくまで医学的に正しい治療を行なったうえで、審美性を追求していくことが重要になります。

ビフォー画像
アフター画像

長期的に良好な予後を見据えた治療工程

機能的に、長く美しい補綴治療を行うことにこだわります。

例えば被せ物をするために土台となる天然歯の形を整える「形成」という工程ですが、必要以上に歯を削ることは多くの歯質が失われ、場合によっては健康な神経を取ることになってしまいます。

また、深く削りすぎるとセラミックをセットしたあとに歯肉が腫れてしまいます。ケースによっては事前にワックスを用いた模型診断を行い、理想的なゴールのために必要十分で適切な形成ができるように意識しています。

次に、歯の精密な型取りをする「印象採得」という工程ですが、補綴治療が必要になった歯は虫歯が歯茎の下までいっていることが多く、通常の型取りではそこまで精密な印象採得ができません。そのためセラミックセット直後の見た目は綺麗ですが、見えない歯茎の下で不適合がおき、早期に問題が起きるということもあります。

当院では形どりをする材料を流し込む際に支台歯に圧排糸と呼ばれる細い糸を2周巻き、歯肉の中まで型取りの材料が流れ込むように工夫しています。こうすることで印象材料が歯肉の下まで流れ込み、通常は見えない部位にいたるまで適合性の高い被せ物を作ることが可能になります。

また印象採得を行う時は保険治療でよく用いられる冷たいピンクのアルジネート材料ではなく、シリコーン系材料を用いて行います。

従来の印象材に比べて寸法安定性に優れているため型取り後に変形が少なく、また適切な硬さもあるために歯肉の中まで入り込んだ薄い部分も千切れることなく精密な型取りが可能になります。

治療の工程において、患者様の目に見えない部分までこだわり抜くことで、良好な予後を実現することができるのです。

ビフォー画像
アフター画像

選りすぐりの歯科技工士による適合性の高い補綴物

クオリティの高い補綴物(詰め物や被せ物)は、適合性が良いという条件があります。

先程紹介した、歯肉圧排やシリコン材料を使った精密な印象採得を行なったうえで、歯科技工士がオーダーメイドの補綴物を作成してくれます。

適合性のみならず、色や形にもこだわった、まさに「匠の技が詰まった補綴物」です。当院では選りすぐりの歯科技工士に依頼し、精密で適合性の高い補綴物を作製してもらっています。

症例で見る審美歯科治療

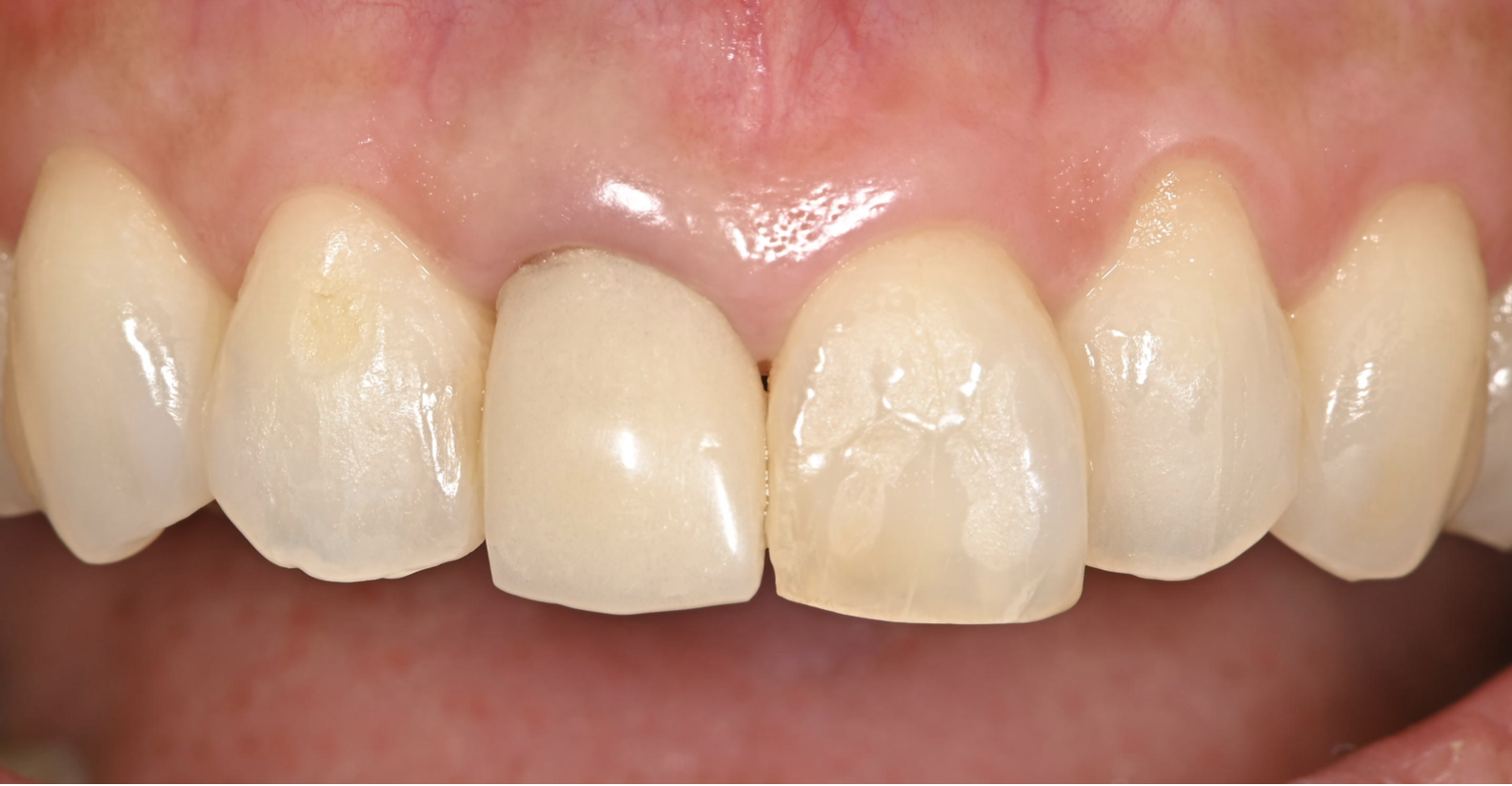
前歯の審美回復を目指した再根管治療と
セラミッククラウンの症例

タップで写真の拡大ができます。

Before
After
主訴
前歯を治したい
治療内容
再根管治療、ファイバーポスト、形成TEK作成、精密形成TEKリマージン、セラミッククラウン
治療期間
3ヶ月
治療費用
418,000
治療の
リスク
歯肉退縮により歯頚部のディスカラレーションが生じる可能性があります。失活歯の場合、歯根破折が起きる可能性があります。

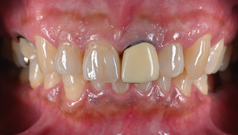
審美性を重視した前歯の
セラミッククラウンによる虫歯治療例

タップで写真の拡大ができます。

Before
After
主訴
虫歯を治したい
治療内容
形成TEK作成、精密形成TEKリマージン、セラミッククラウン6本
治療期間
6ヶ月
治療費用
1,440,000
治療の
リスク
歯肉退縮により歯頚部のディスカラレーションが生じる可能性があります。生活歯の場合、切削量が多いと失活の可能性があります。

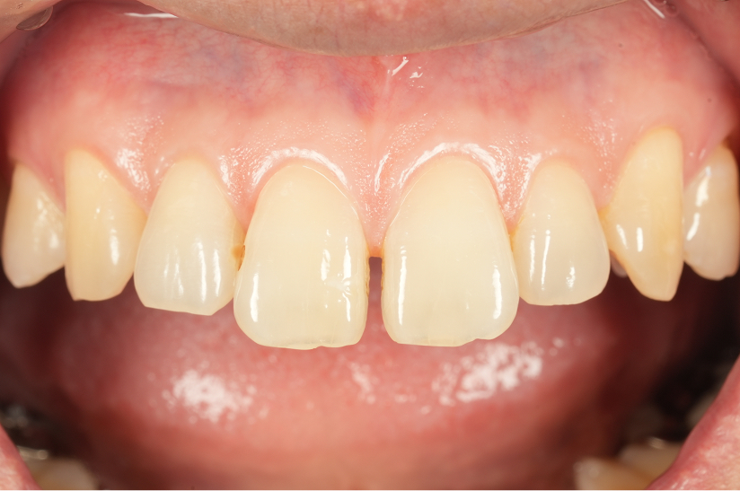
割れたセラミックの再修復
前歯のセラミッククラウン治療例

タップで写真の拡大ができます。

Before
After
主訴
セラミックが割れた
治療内容
形成TEK作成、精密形成TEKリマージン、セラミッククラウン2本
治療期間
3ヶ月
治療費用
528,000
治療の
リスク
歯肉退縮により歯頚部のディスカラレーションが生じる可能性があります。生活歯の場合、切削量が多いと失活の可能性があります。

虫歯治療後自然な
見た目へ修復した症例

タップで写真の拡大ができます。

Before
After
主訴
症状はないが虫歯の治療をしたい
治療内容
ラミネートベニア
治療期間
1ヶ月
治療費用
165,000
治療の
リスク
食いしばりや歯ぎしりが強い方は材質の破折が生じる可能性があります。

全体的な虫歯を低侵襲な術式で
審美改善した症例

タップで写真の拡大ができます。

Before
After
主訴
全体的な虫歯の治療がしたい
治療内容
ラミネートベニア2本、ダイレクトレストレーション4本
治療期間
1ヶ月
治療費用
671,000
治療の
リスク
食いしばりや歯ぎしりが強い方は材質の破折が生じる可能性があります。ダイレクトレストレーションは経年的に材質が変色してくる可能性があります。

全体を治したいという
患者の希望を叶えた症例

タップで写真の拡大ができます。

Before
After
主訴
症状はないが虫歯の治療をしたい全体的にしっかりと治療していきたい
治療内容
形成TEK作成、精密形成TEKリマージン、ラミネートベニア2本、セラミッククラウン2本、インプラント1本
治療期間
6ヶ月〜1
治療費用
1,500,000
治療の
リスク
ラミネートベニアには食いしばりや歯ぎしりが強い方は材質の破折が生じる可能性があります。インプラントはオッセオインテグレーションが得られなかった場合、撤去、再度埋入の可能性があります。

再治療に加えて
天然歯のような審美性を目指した症例

タップで写真の拡大ができます。

Before
After
主訴
染みていた歯がズキズキするようになった。
治療内容
リトリートメント(前歯)、ファイバーポストコア、形成TEK作成、精密形成TEKリマージン、セラミッククラウン1本
治療期間
2ヶ月
治療費用
400,000
治療の
リスク
処置中に歯肉縁下におよぶ重度のう蝕や破折を認めた場合、治療を中断する可能性があります。術後も症状が残る場合は追加の処置が必要になる可能性があります。

審美修復により口元の印象が
大きく変わった症例

タップで写真の拡大ができます。

Before
Before
After
After
Before
Before
After
After
主訴
虫歯の治療をしたい
治療内容
セラミッククラウン5本、ラミネートベニア1本、リトリートメント(再根管治療・前歯)5本、ファイバーポストコア5本
治療期間
6ヶ月
治療費用
2,000,900
治療の
リスク
歯肉退縮により歯頚部のディスカラレーションが生じる可能性があります。生活歯の場合、切削量が多いと失活の可能性があります。ラミネートベニアには食いしばりや歯ぎしりが強い方は材質の破折が生じる可能性があります。

すきっ歯をすべて
歯科医師の技術で修復した症例

タップで写真の拡大ができます。

Before
Before
After
After
Under treatment
主訴
すきっ歯を治したい。
治療内容
ディアステマクロージャー(ダイレクトレストレーション2本)
治療期間
1〜2回
治療費用
176,000
治療の
リスク
経年的に材質が変色してくる可能性があります。

ホームホワイトニングで
歯の白さを引き出した症例

タップで写真の拡大ができます。

Before
Before
1Week
After
2Week
Before
主訴
歯を白くしたい
治療内容
ホームホワイトニング
治療期間
1ヶ月
治療費用
33,000
治療の
リスク
ホワイトニング後は一時的な知覚過敏症状が生じます、時間が経つと少しずつ後戻りが生じます

仮歯を
自然な仕上がりにした症例

タップで写真の拡大ができます。

Before
Before
After
After
主訴
仮歯のままのところを綺麗に治したい。
治療内容
セラミッククラウン
治療期間
1ヶ月
治療費用
264,000
治療の
リスク
歯肉退縮により歯頚部のディスカラレーションが生じる可能性があります。失活歯の場合、歯根破折が起きる可能性があります。

審美歯科をご検討の方へ

ここまでご説明したように、当院は医学的に介入が必要な症例に対して、適切な治療を行なったうえで自然な審美性を追求していきます。

また、仕上がりだけでなくそれまでの工程も妥協なく行い、選りすぐりの技工士によって適合性が高く美しい技工物を作製いたします。審美歯科をご検討になられたら、お気軽にご相談ください。セカンドオピニオンも承っておりますので、そちらもご活用ください。

新着情報Information

アクセスAccess

浅草線・日比谷線「人形町駅」から徒歩30秒

〒103-0013 
東京都中央区日本橋人形町3丁目8-2 ミハマビル2F