診療時間 日/祝
10:00 ~ 13:30
15:00 ~ 19:30

東京都中央区日本橋人形町3丁目8-2 ミハマビル2F

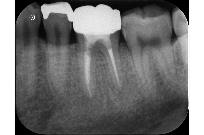
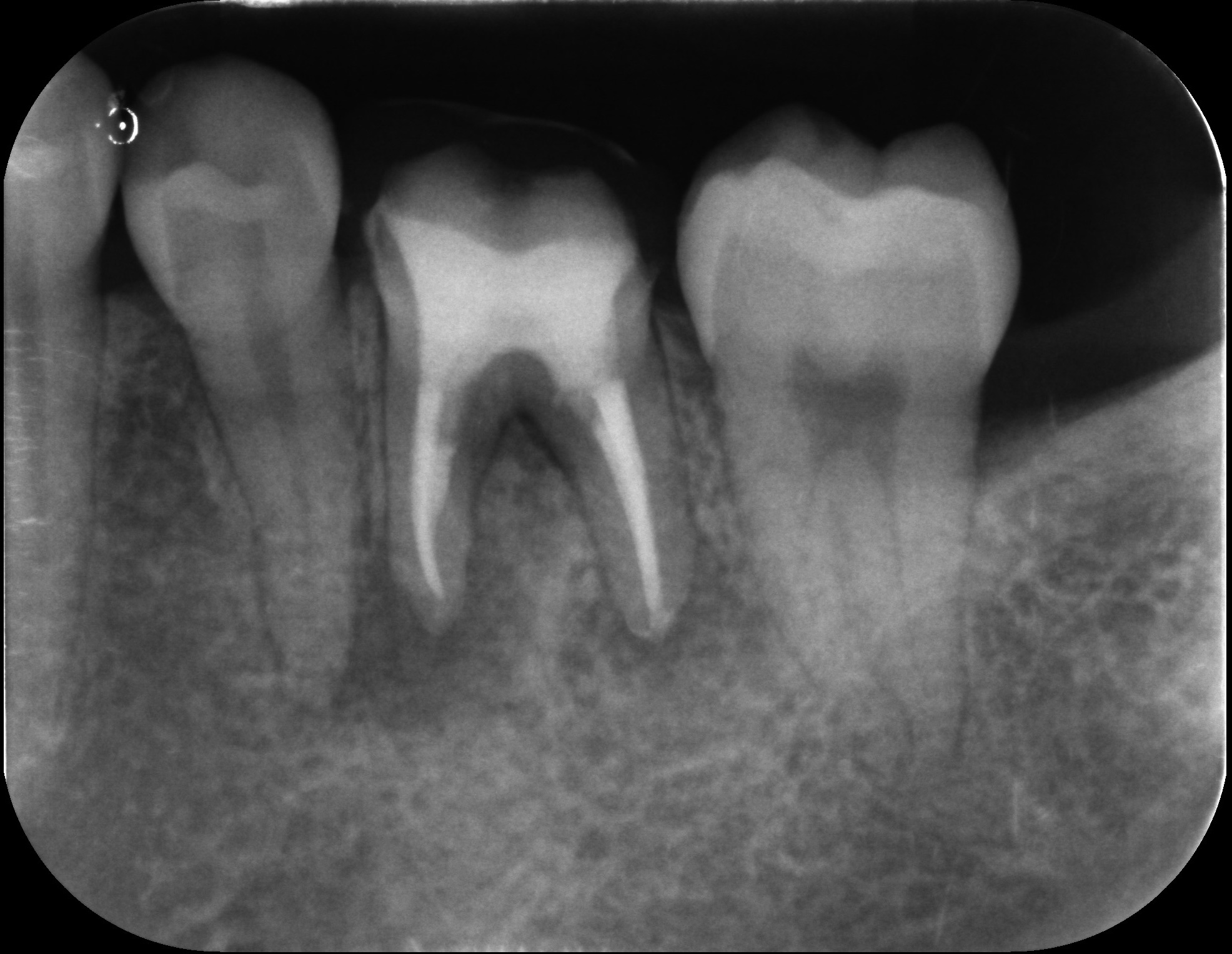
当院の根管治療について

歯の神経が細菌に感染し、そのまま放置してしまうと強い痛みを生じ、治療をしても健康状態に戻らない重篤な状態になってしまったり、失活することがあります。

失活し、痛みを感じなくなってしまうと根管内ではどんどん細菌感染が進行し、細菌が出す毒素や細菌それ自体が根尖孔(根っこの先)から溢出し、周囲の骨を溶かしていきます。(根尖性歯周炎)。
骨が頬側まで溶けていくと、中に溜まっていた膿が粘膜に”歯茎の腫れ”として目視できるようになります(サイナストラクトまたはフィステルと呼ばれます)。

今までは根の先に黒い影があるからという理由で抜歯を宣告されることが多かった根尖性歯周炎ですが、現在ではきちんとした治療を行えばほとんどのケースで歯を温存することが可能です。そのために行っていくのが「根管治療」です。

「根管治療」において特に大切なのが、ラバーダム防湿を用いたデコンタミネーション(感染制御)です。神経のあった空間はもともと細菌がいない無菌環境です。
例えば医療ドラマでよく見かける開腹手術でドレープもかけず、術野の消毒を行わず、唾液だらだらの状態でオペを行っている状況が想像できますか?根管もお腹と同じく本来は無菌環境ですので、しっかりとデコンタミネーションを行った状態で処置を行うことは治療成功のために必須となってきます。
そのため、当院は根管治療においてラバーダム防湿を徹底し、可能な限り無菌的な環境下で治療を行っています。

虫歯でお困りの方へ

根管治療のコンセプト

神経を取る治療は不可逆的な(元の状態に戻せない)治療です。そのため、まずは正確な診断がとても重要となってきます。その神経が生きているのか、死んでいるのか、生きているけどもう残せない状態なのか。これを判断するには直接その組織の血流を確認するしかありません。しかし歯の神経はその場所が特異的で、硬い歯の内側にあるために直接確認することが不可能です。
そのため我々は問診や視診、歯髄の冷温診や電気診、レントゲンなど多岐にわたる検査を必要かつ十分に行うことで診断の正確性を高めています。

神経が残せると判断した場合は、歯髄温存療法(Vital Pulp Therapy: VPT)にて可及的に歯髄を残します。

神経が残せない、またはすでに歯髄が死んでしまっている場合は根管治療を行いますが、そこで重要になるのが上記にあるラバーダム防湿であったり、マイクロスコープによる精密な治療です。
根管治療失敗の原因のひとつに”根管の見逃し”があります。MB2という小さな根管の発見率において裸眼では18.2%〜51%、ルーペでは41.3%であるが、マイクロスコープを用いると82%〜95.2%になると報告されています。

エビデンス
https://pubmed.ncbi.nlm.nih.gov/11862210/
https://pubmed.ncbi.nlm.nih.gov/12360670/
https://pubmed.ncbi.nlm.nih.gov/12043874/

ここからも根管治療におけるマイクロスコープの重要性がわかるかと思います。

また歯が残っても被せ物が脱離しやすかったり残した根っこが割れてしまったら意味がありません。適合が悪い補綴物(被せ物)だと隙間から細菌が漏洩し、再感染が起こってしまうというデータも存在します。この”辺縁漏洩”に関しては根管治療の質と補綴物の質、どちらも重要であるというのが現在のコンセンサスです。

エビデンス
https://pubmed.ncbi.nlm.nih.gov/7642323/
https://pubmed.ncbi.nlm.nih.gov/11202885/

そのため根管治療に入る前から補綴治療を見据えた前処置、また根管治療時はできる限り多くの歯質を残し、根管治療後は適合の良い補綴治療を行うことが重要です。
本来は別の専門性が必要ですが、当院はどちらも高いクオリティで一元的な治療を行なっていることが強みです。

根管治療の治療方針

  • ラバーダム防湿を必ず行い、唾液からの細菌感染や器具の誤飲を防ぐ。
  • マイクロスコープを用いて、精密な治療を行う。
  • 根管の形態に即した、治療器具の選定・使用。
  • 土台や被せ物を含めた緊密な修復治療により多重の感染防御壁を築く。
  •  虫歯でお困りの方へ

    専門性の高い治療と診療設備

    治療を担当する院長の川合は根管治療のスペシャリストを育て上げるPESCJ(ペンエンドスタディーグループジャパン)で専門性の高い教育を受けています。また、日本に数台しかない三鷹光器(株)製マイクロスコープ、エルタニスm-specを使用して治療にあたっています。
    ※三鷹光器(株)は東京都三鷹市にある光学機器メーカーで、脳神経外科手術用マイクロスコープではアメリカ市場で約70%のシェアを獲得している。
    三鷹光器について

    専門性の高い治療を受けるためには、根管治療専門クリニックに行くか、専門医が不定期に歯科医院へ来て治療することが一般的です。当院では専門性の高い根管治療とクオリティの高い補綴治療を含めた一元的な治療を院長が担当するため、クリニック側の都合に合わせずに治療や相談を承ることが可能です。

     虫歯でお困りの方へ

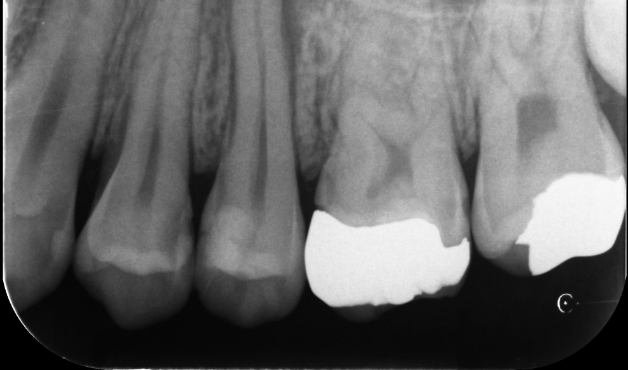
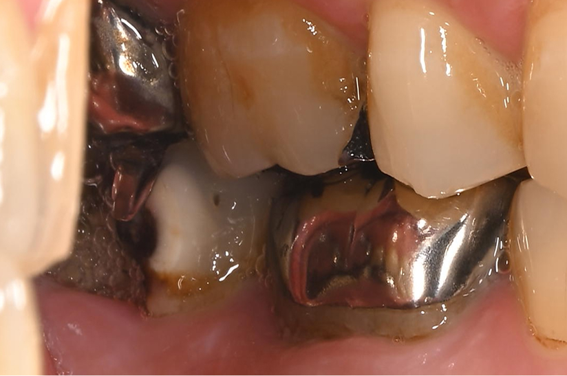
    根管治療で前歯を残した症例

    タップで写真の拡大ができます。

    Before
    After
    主訴
    歯茎が腫れている。変色も気になる。
    治療内容
    イニシャルトリートメント(初回根管治療・前歯)
    ウォーキングブリーチ、レジンコア
    治療期間
    1ヶ月
    治療費用
    143,000
    治療の
    リスク
    根尖部透過像が完全に消失しない可能性があります。
    色が後戻りする可能性があります。

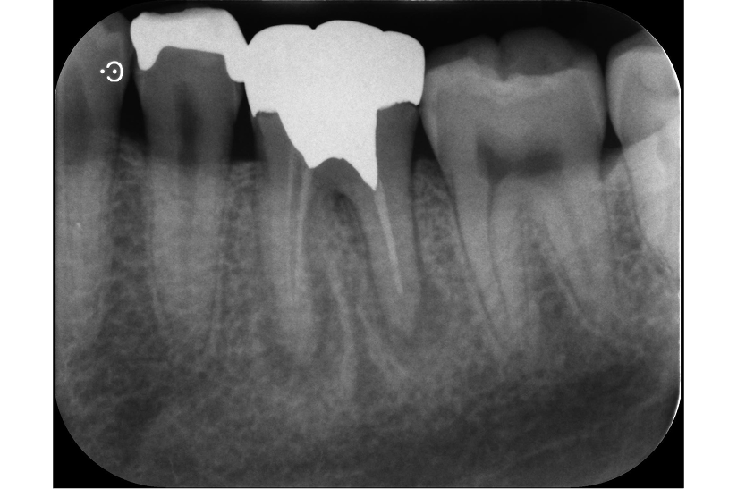
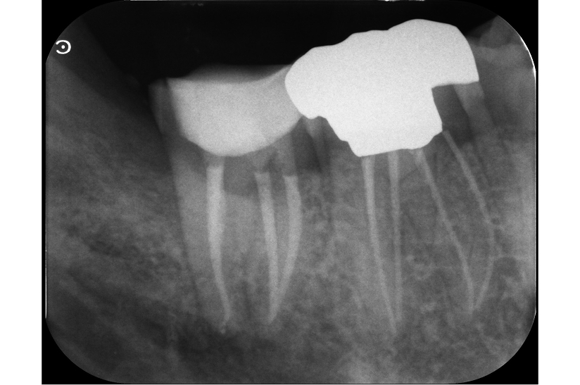
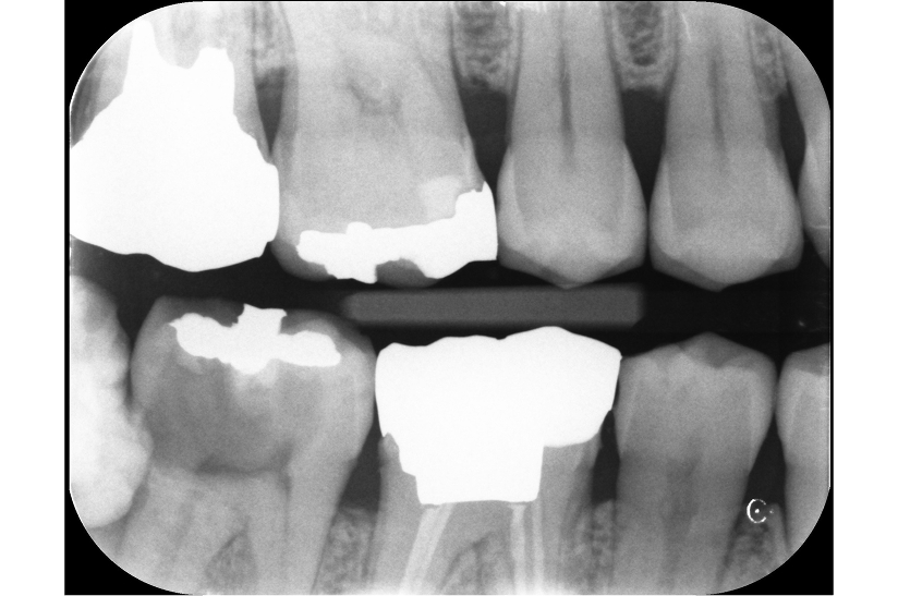
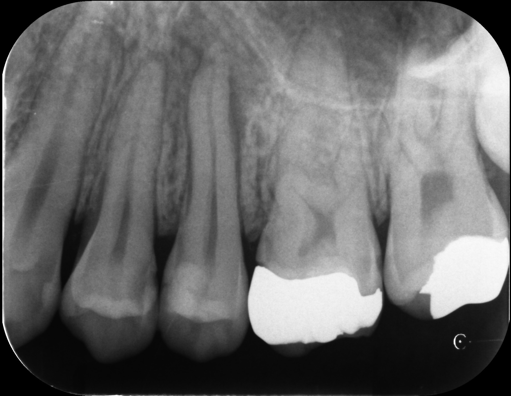
    再根管治療で奥歯を残した症例

    タップで写真の拡大ができます。

    Before
    Before
    After
    Before
    主訴
    噛むと違和感がある。
    治療内容
    リトリートメント(再根管治療・大臼歯)
    ファイバーポストコア
    治療期間
    1ヶ月
    治療費用
    198,000
    治療の
    リスク
    根尖部透過像が完全に消失しない可能性があります。

    前歯の再根管治療を行った症例

    タップで写真の拡大ができます。

    Before
    After
    主訴
    前歯を綺麗にしたい
    治療内容
    再根管治療(前歯)、ファイバーポストコア
    治療期間
    1ヶ月
    治療費用
    770,000
    治療の
    リスク
    処置中に歯肉縁下におよぶ重度のう蝕や破折を認めた場合、治療を中断する可能性があります。術後も症状が残る場合は追加の処置が必要になる可能性があります。

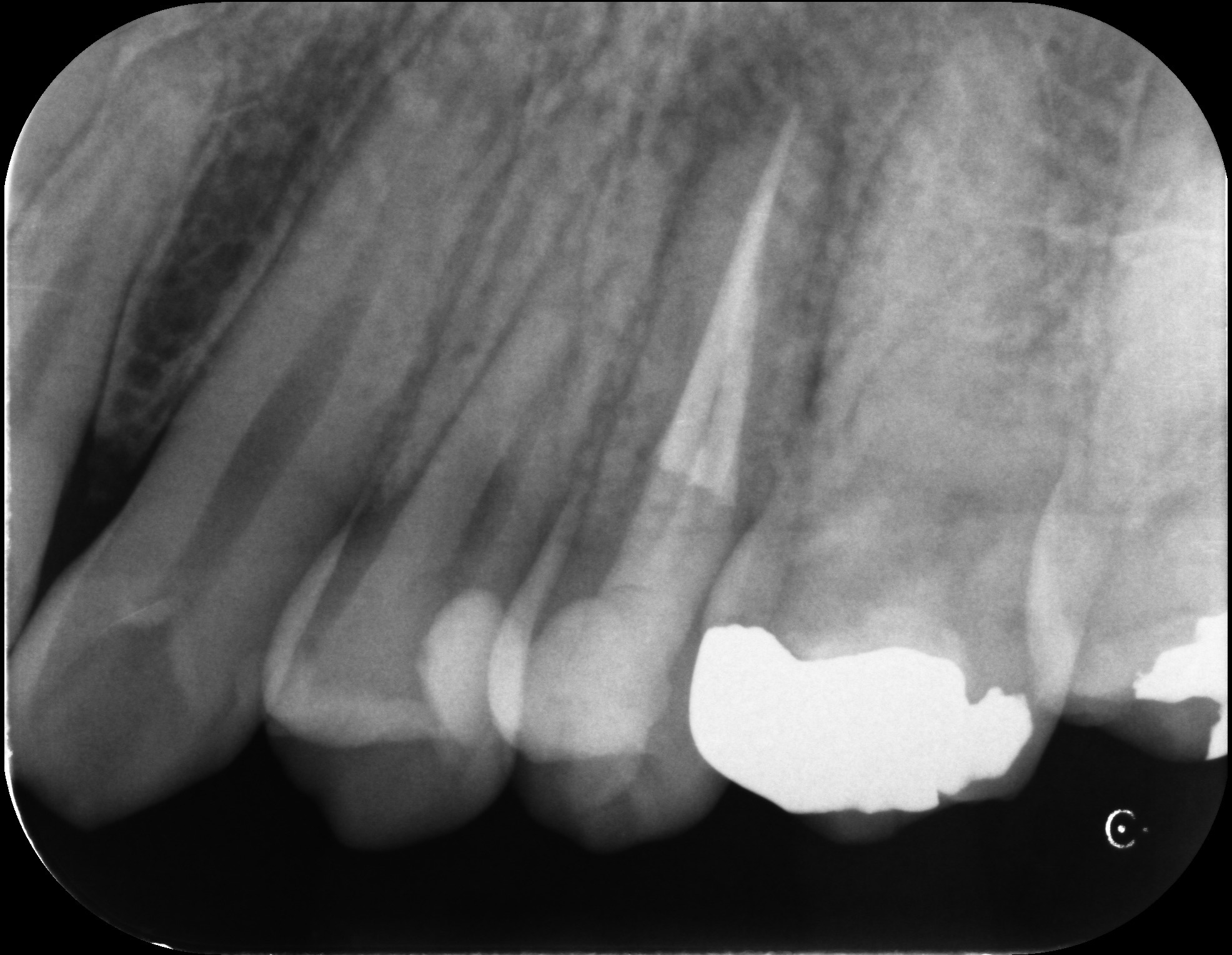
    大臼歯の再根管治療を行った症例

    タップで写真の拡大ができます。

    Before&After(根管治療)
    Before
    Before
    Before&After(根管充填)
    Before
    Before
    主訴
    歯茎が腫れて、噛むと違和感がある
    治療内容
    再根管治療(大臼歯)
    治療期間
    1ヶ月
    治療費用
    165,000
    治療の
    リスク
    処置中に歯肉縁下におよぶ重度のう蝕や破折を認めた場合、治療を中断する可能性があります。術後も症状が残る場合は追加の処置が必要になる可能性があります。

    再根管治療×ウォーキングブリーチ
    ×ダイレクトレストレーションの症例

    タップで写真の拡大ができます。

    Before
    Before
    After
    Before
    Before
    Before
    After
    Before
    主訴
    前歯の色が気になる
    治療内容
    再根管治療(前歯)、ウォーキングブリーチ、ダイレクトレストレーション
    治療期間
    1ヶ月
    治療費用
    198,000
    治療の
    リスク
    処置中に歯肉縁下におよぶ重度のう蝕や破折を認めた場合、治療を中断する可能性があります。術後も症状が残る場合は追加の処置が必要になる可能性があります。経年的に再度変色が生じる場合があります。

    再根管治療で歯を残した症例

    タップで写真の拡大ができます。

    Before
    Before
    Under Treatment
    Under Treatment<
    After
    Before
    主訴
    体調が悪い時に脈打つ感じがする
    治療内容
    再根管治療(大臼歯)、異物除去、レジンコア
    治療期間
    1ヶ月
    治療費用
    220,000
    治療の
    リスク
    処置中に歯肉縁下におよぶ重度のう蝕や破折を認めた場合、治療を中断する可能性があります。術後も症状が残る場合は追加の処置が必要になる可能性があります。

    再根管治療で
    歯を残した症例

    タップで写真の拡大ができます。

    Before
    Before
    After
    After
    Before
    Before
    After
    After
    主訴
    根管治療のやり直しをお願いされてきた
    治療内容
    リトリートメント(再根管治療・大臼歯)、ファイバーポストコア
    治療期間
    1ヶ月
    治療費用
    198,000
    治療の
    リスク
    根尖部透過像が完全に消失しない可能性があります。

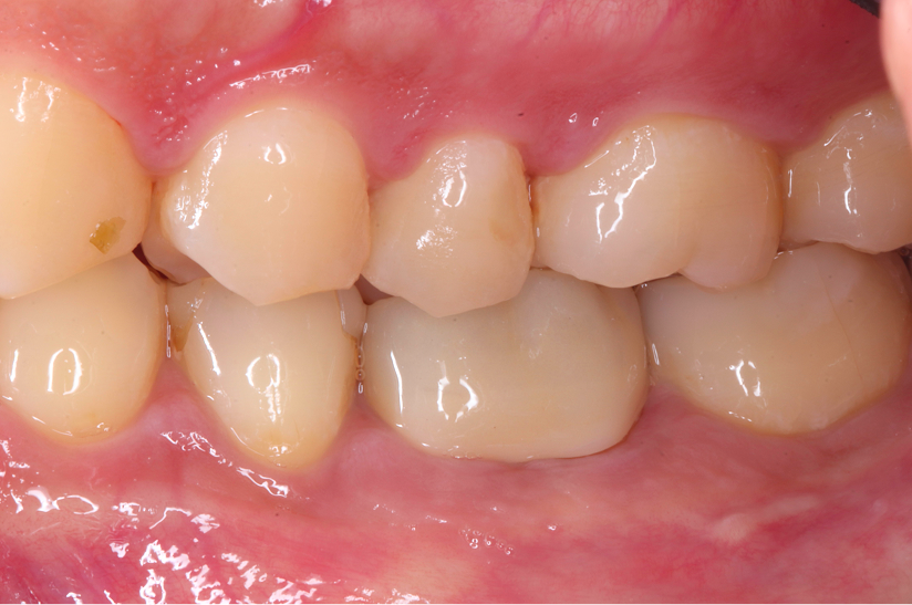
    精密な根管治療と最小限の治療を
    組み合わせた保存治療

    タップで写真の拡大ができます。

    Before
    Before
    After
    Before
    Before
    Before
    After
    Before
    Before
    Before
    After
    Before
    主訴
    膿んでいる歯があるので治療をしてほしい
    治療内容
    イニシャルトリートメント(初回根管治療・小臼歯)、レジンコア、ダイレクトレストレーション2本
    治療期間
    1ヶ月
    治療費用
    269,500
    治療の
    リスク
    根尖部透過像が完全に消失しない可能性があります。補綴処置を行わない根管治療歯は歯冠破折の可能性があります。

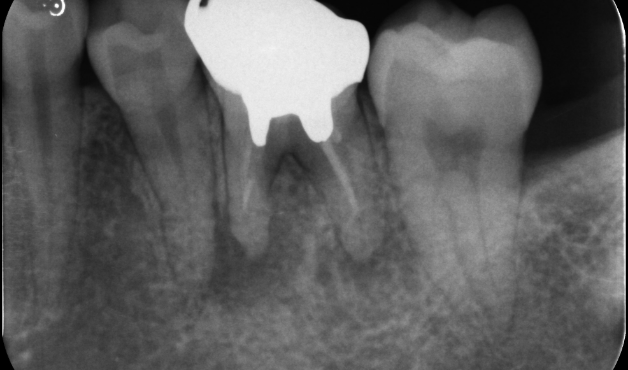
    再根管治療によって歯を残した症例

    タップで写真の拡大ができます。

    Before
    Before
    After
    Before
    Under Treatment
    主訴
    矯正の前に治療が必要と言われた。少し歯茎が腫れている
    治療内容
    リトリートメント(再根管治療・大臼歯)
    治療期間
    1ヶ月
    治療費用
    165,000
    治療の
    リスク
    根尖部透過像が完全に消失しない可能性があります

    他院で抜歯と言われた歯を残した症例

    タップで写真の拡大ができます。

    Before
    Before
    After
    Before
    Before
    Before
    After
    Before
    主訴
    他院で抜歯してインプラントと言われた。
    治療内容
    リトリートメント(再根管治療・大臼歯)、ファイバーポストコア、セラミッククラウン
    治療期間
    3ヶ月
    治療費用
    374,000
    治療の
    リスク
    根尖部透過像が完全に消失しない可能性があります。

    長期予後を見越した根管治療の症例

    タップで写真の拡大ができます。

    Before
    Before
    After
    Before
    主訴
    症状はないが、治療が必要な箇所があればしっかり治療しておきたい。
    治療内容
    イニシャルトリートメント(根管治療・大臼歯)、ファイバーポストコア、セラミッククラウン
    治療期間
    3ヶ月
    治療費用
    352,000
    治療の
    リスク
    根尖部透過像が完全に消失しない可能性があります。

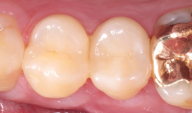
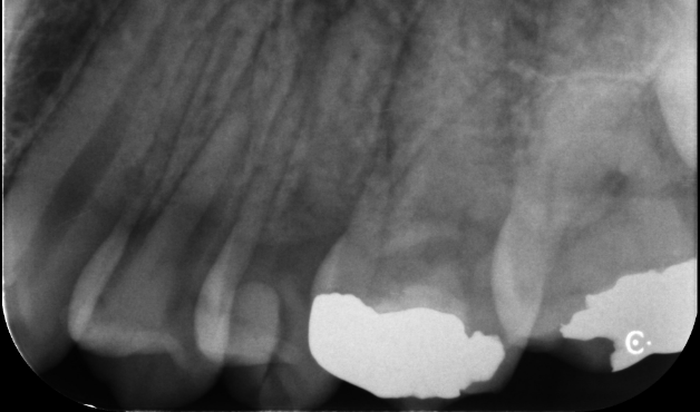
    他院での治療を丁寧にリカバリーした症例

    タップで写真の拡大ができます。

    Before
    After
    Under Treatment
    主訴
    他院で治療をしてもらってからズキズキ痛み、噛むときも痛い。
    治療内容
    イニシャルトリートメント(根管治療・大臼歯)、ファイバーポストコア
    治療期間
    1回
    治療費用
    176,000
    治療の
    リスク
    根尖部透過像が完全に消失しない可能性があります

    再根管治療によって歯を残した症例

    タップで写真の拡大ができます。

    Before
    After
    主訴
    奥の痛みに対して痛み止めでしのいでいたが、昨夜から痛みの強さが増してきた。
    治療内容
    クラウンレングスニング、イニシャルトリートメント(根管治療・大臼歯)、ファイバーポストコア(別途、智歯抜歯を保険治療で行っています。)
    治療期間
    3ヶ月
    治療費用
    231,000
    治療の
    リスク
    歯冠歯根比が悪くなります。根尖部透過像が完全に消失しない可能性があります。

    前歯の再根管治療を行った症例

    タップで写真の拡大ができます。

    Before
    Before
    After
    Before
    主訴
    矯正の前に再治療をすすめられた。
    治療内容
    リトリートメント(再根管治療・前歯)、MTAセメント、ファイバーポストコア
    治療期間
    1回
    治療費用
    165,000
    治療の
    リスク
    根尖部透過像が完全に消失しない可能性があります。

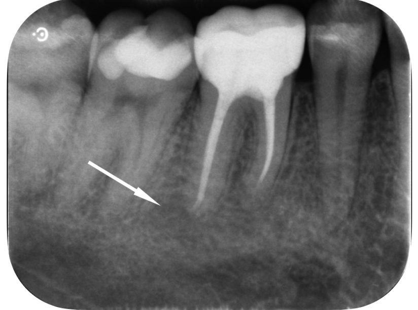
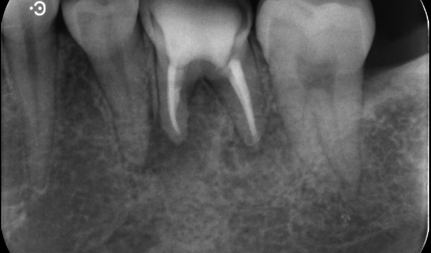
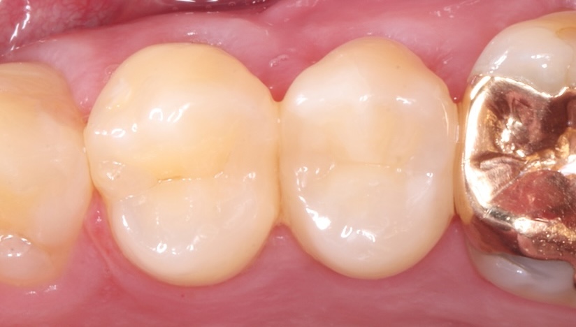
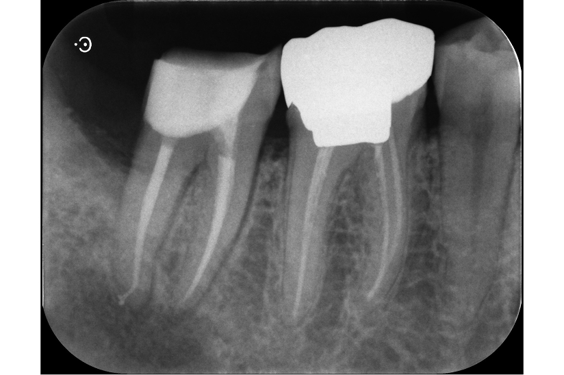
    根尖性歯周炎の歯を
    再根管治療によって歯を残した症例

    タップで写真の拡大ができます。

    Before
    After
    Under Treatment
    主訴
    抜歯が必要と言われた歯の精査を希望
    診断
    根尖性歯周炎(根尖吸収、ストリップパーフォレーションを伴う)
    治療方針
    重度の感染および根管内の損傷が認められる難症例であったが、 歯質の残存量および歯周組織の状態から保存可能と判断した。

    歯根破折を疑う所見も認められなかったため、 患者の希望も踏まえ、保存的に再根管治療を行う方針とした。
    治療内容
    リトリートメント(大臼歯)、MTAセメントによる封鎖、レジンコア
    治療期間
    約1ヶ月
    治療費用
    220,000
    結果
    初診時には根管内に肉芽組織および排膿を認めたが、 感染コントロール後に炎症所見は消失した。

    その後MTAセメントにて封鎖を行い、 術後症状は認めず、根尖病変は縮小傾向を示している。
    治療の
    リスク
    根尖病変が完全に消失しない可能性
    考察
    複数回の根管治療既往があり、根管内は複雑な状態であったが、 適切な感染源の除去と封鎖により良好な経過が得られている。

    難症例においては、保存の可否を適切に判断した上で、 精密な処置を行うことが重要である。

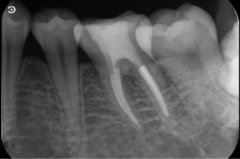
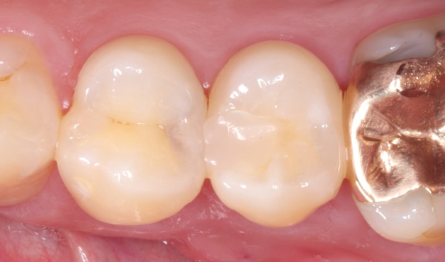
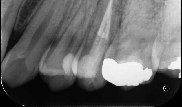
    再根管治療と外科的歯内療法を組み合わせて
    歯を残した症例

    タップで写真の拡大ができます。

    Before
    Before
    After Retretment
    Before
    After Endodontic Microsurgery
    Before
    術前
    Before
    術直後
    Before
    術後1週間
    Before
    主訴
    歯ぐきの腫脹
    診断
    根尖性歯周炎(根尖吸収、パーフォレーションを伴う)
    治療方針
    歯の保存を希望されたため、まず再根管治療を行った。

    治療中に近心根にパーフォレーションを認め、MTAセメントによる封鎖および根管充填を行ったが、経過観察において症状の改善は得られなかった。

    根管内からのアプローチでは感染源の除去に限界があると判断し、外科的歯内療法へ移行した。
    治療内容
    再根管治療、MTAセメントによる封鎖、レジンコア、外科的歯内療法
    治療期間
    約6ヶ月(経過観察期間を含む)
    治療費用
    330,000
    結果
    再根管治療では症状の改善は認められなかったが、外科的歯内療法後には症状は消失し、現在まで再発なく機能している。
    治療の
    リスク
    根尖病変が完全に消失しない可能性
    考察
    パーフォレーションを伴う症例では、根管内からの処置のみでは感染源の除去に限界がある場合がある。

    本症例では再根管治療を先行した上で外科的歯内療法を行うことで、より確実な感染源の除去が可能となった。

    適切なタイミングで外科的アプローチへ移行することが、 保存の可能性を高める上で重要である。

    新着情報Information

    アクセスAccess

    浅草線・日比谷線「人形町駅」から徒歩30秒

    〒103-0013 
    東京都中央区日本橋人形町3丁目8-2 ミハマビル2F