診療時間 日/祝
10:00 ~ 13:30
15:00 ~ 19:30

東京都中央区日本橋人形町3丁目8-2 ミハマビル2F

見た目も、機能も
自分の歯のように噛める喜びを
患者様に価値あるインプラント治療をご提案します。

失った歯を補う治療の1つとして、インプラント治療はすでに安全性が確立された一般的な治療です。インプラントは人工歯根を埋め込むことによって、天然歯と同様の機能と審美性を獲得することができます。

当院ではインプラントが長期的に維持・安定することで、
患者さんの食事や会話を不自由なく楽しめるような、価値ある治療を行います。

インプラントとは

失った歯を補う治療の1つとして、インプラント治療はすでに安全性が確立された一般的な治療です。インプラントは人工歯根を埋め込むことによって、天然歯と同様の機能と審美性を獲得することができます。

当院ではインプラントが長期的に維持・安定することで、
患者さんの食事や会話を不自由なく楽しめるような、価値ある治療を行います。

他の治療との比較

治療法 メリット デメリット 備考
ブリッジ(金属)
  • 取り外しをしなくてよい
  • 外科処置を回避できる
  • 長期予後が悪い
  • 両隣の歯を大きく削る必要がある
  • 土台の歯に負担がかかりトラブルが起こりやすい
  • 一部が壊れるとすべて作り直しが必要
  • 歯間ブラシでの清掃が必須
参考文献※1
青山貴則・相田潤・竹原順次・森田学「臼歯部修復物の生存期間に関連する要因」
入れ歯(義歯)
  • 隣の歯をほとんど削らずに済む
  • 取り外し可能・外科処置を回避できる
  • 歯茎で噛む力を負担するため硬いものが噛みにくい
  • 支えの歯が揺れてくることがある
  • 歯茎の形が変わると調整・再作製が必要
保険適用により費用を抑えられるが、構造的に安定性が低く長期的には咬合支持の喪失を招く可能性あり
インプラント
  • 見た目が自然で審美的・硬いものでもしっかり噛める
  • 単独で機能し清掃しやすい
  • 隣の歯を削らない
  • 負担をかけない
  • 自由診療のため費用が高い
  • 外科処置が必要
  • 一部のリスク患者では注意が必要(喫煙・骨粗鬆症・ステロイド内服など)
周囲の歯に優しく、再治療が少ない。長期予知性の高い治療法
自家歯牙移植※2
  • 自然な噛み心地
  • 自分の歯を活かせる
  • 骨の成長を誘導できる
  • 適応条件が限られる
  • 将来的に骨癒着や歯根吸収のリスク
若年者にも適応可能/歯根膜の生理的機能が保たれる

※1参考文献

臼歯部修復物の生存期間に関連する要因 青山 貴則 相田 潤 竹原 順次 森田 学
保険で行うメタルブリッジの予後は決して良いとは言えない。
臼歯部修復物の生存期間に関連する要因

※2 自家歯牙移植

自家歯牙移植のページを詳しくご覧ください

当院がインプラント治療をする目的

他の治療との比較から分かるようにインプラント治療はそれ自体がしっかり噛めるだけではなく、周りの歯にも優しく、再治療が少ない予知性の高い治療と言えます。当院がインプラント治療を行う目的は以下の3つです。

  • 咬合機能の回復と維持のため
  • まわりの天然歯を守るため
  • 再治療を減らすため

インプラント治療のポリシー

当院では以下のポリシーをもってインプラント治療を行います。

01.
単に噛めるだけではなく、

長期的な“成功”を見据えた設計

インプラントの”生存率=Survaival Rate”は10〜15年間で90%を超えるほどに高いですが、”成功率=Success Rate”となると実はそれほど高い推移ではありません。

1998年のトロント会議のコンセンサスレポートでは、インプラント成功の基準として、

  • 痛みや不快感、感染兆候がないこと
  • 動揺がないこと
  • 年間骨吸収量が0.2mm以下であること
  • 患者と術者の双方が満足していること

が挙げられています。

歯周病でお困りの方へ

そんなインプラントの長期的成功を左右する重要な因子の一つが、埋入ポジションの精度です。

2025年のJournal of Periodontologyに掲載されたMonjeらによるAO/AAPシステマティックレビューでは、埋入位置の不適切さがインプラント周囲炎の最大の危険因子であり、発症オッズ比は48倍に達すると報告されています。こうした科学的知見に基づき、当院ではほぼすべての症例でガイデッドサージェリー(サージカルガイド)を用いた埋入を行っています

エビデンス
https://pubmed.ncbi.nlm.nih.gov/40489294/

いわゆるインプラントの長寿命(=生存)だけではなく、長期的な高い”成功”を達成するためには抜歯の時からインプラントを見据えた前処置であったり、時として周辺歯周組織の再構築、実際に埋入する際は適切な補綴形態(被せ物)から逆算した手術設計が必要となります。

02.
リスクに配慮した安全・安心な

術式選択と手術環境の構築

インプラント治療は、どんなに技術が進歩しても外科処置であることに変わりはありません。だからこそ、最も大切なのは「安全性」です。
当院では、術前のリスク評価と術中環境の安全確保に徹底して取り組んでいます。

  • 歯科用CTによる3次元解析とデジタルサージカルガイドを用いて、神経・血管・隣在歯との位置関係を正確に把握
  • 骨量・骨質・全身状態に応じて、低侵襲な術式(フラップレス・ショートインプラント・骨造成併用など)を適切に選択
  • 清潔域での手術操作を徹底し、使用器材の多くにディスポーザブル(使い捨て)製品を採用することで、感染リスクを最小限に抑制

静脈内鎮静法は、恐怖心が強い方や嘔吐反射がある方、外科手術への緊張が強い方にも有効な方法です。患者様が安心して手術に臨めるよう、環境・術式・サポート体制の三位一体で安全性を確保しています。

03.
“機能した後”を見据えた、

メンテナンス性の高いデザイン

インプラントは虫歯にはなりません。しかし、天然歯と同様に歯周炎によって骨が溶けることで「インプラント周囲炎」が発症することがあります。この疾患を防ぐためには、天然歯と同じように日々のセルフケアと定期的なプロフェッショナルメインテナンスが不可欠です。
また、インプラントは天然歯と構造が異なるため、清掃しやすくプラークがたまりにくい補綴形態(被せ物の形)に設計すること、そしてそれに調和する歯肉や周囲歯周組織の形態を整えることが重要です。

当院では、

  • インプラント周囲炎を未然に防ぐためのメンテナンス性を重視した設計
  • 歯科衛生士による個別メンテナンスプログラムの実施
  • 天然歯とインプラントを一体として評価する長期的リスクモニタリング

を徹底しています。

今までに他院で治療してもらったインプラントで「噛めてはいるが清掃が難しく、トラブルが起きてしまった」というケースを多く拝見してきました。インプラントは一度トラブルが発生すると天然歯以上に治療が難しいため、当院では機能した後の管理までを見据えた設計を重視しています。 患者様にできる限り負担をかけず、天然歯とのバランスを保ちながら、長期に安定する設計と、日々のメンテナンスを行いやすい仕上がりを追求しています。

当院のインプラント治療の特長

対応可能な治療技術に関して

患者様の状況に応じて、様々な術式にて対応可能です。

  • 患者様への負担を最小限に抑える抜歯即時埋入
  • 骨が回復するのを待ってからインプラント埋入を行う待時埋入
  • 骨造成(顎堤温存術、GBR、自家骨移植、サイナスリフト、ソケットリフト)
  • 安全を考慮したガイデッドサージェリー(正確な埋入をサポートする装置の使用)
  • 静脈内鎮静法(セデーション)による無痛睡眠治療

ガイデッドサージェリーについて

当院ではインプラント治療に際してほぼ全症例でガイデッドサージェリーを行っています。CTデータと口腔内の3次元情報をマッチングさせることで術前にインプラントの理想的な埋入位置を決めることができ、さらにそのデータを元にテンプレートを作成することであらかじめ設計した通りの位置にインプラントを埋入することができる外科手順です。

この目的は、

  • 外科処置の単純化による手術時間の短縮
  • 深度、軸をガイドされることによる正確なインプラント埋入
  • 最終ゴール(噛む位置)から導き出した最適なインプラントポジション設計
  • CTデータとのマッチングにより神経損傷等の危険を回避した設計

最新の設備とシステムを導入しているからこそ可能なガイデッドサージェリーは今では欠かすことのできない外科手順と言えます。

治療技術に関して 治療技術に関して

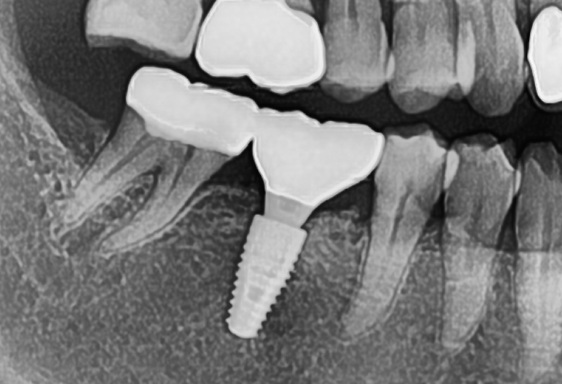
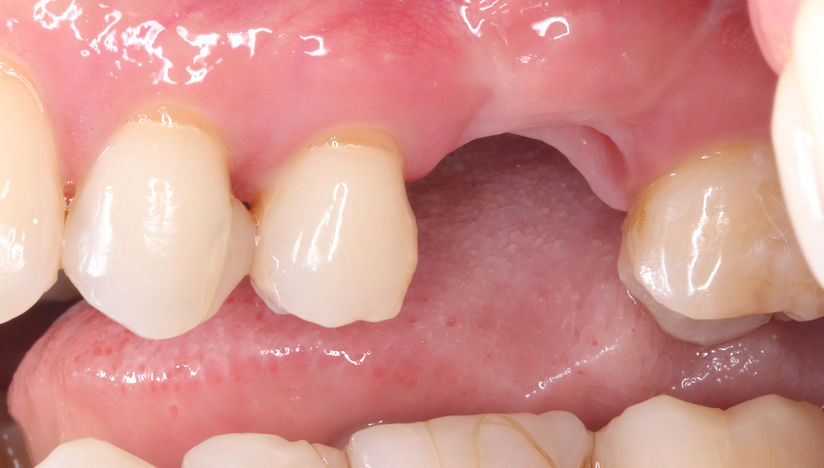
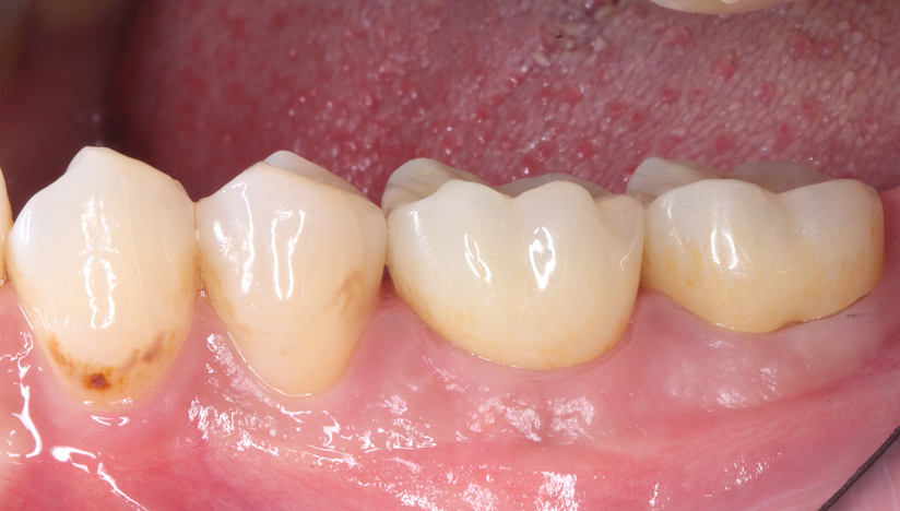
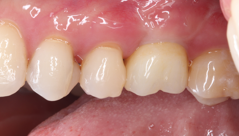
インプラントの症例紹介

臼歯部(奥歯)の
インプラント治療

タップで写真の拡大ができます。

Before
Before
After
After
Before
Before
After
After
主訴
噛むと痛い、歯茎が腫れてきた
治療内容
抜歯即時インプラント埋入、リッジプリザベーション(顎堤温存術)
治療期間
6〜8ヶ月
治療費用
649,000
治療の
リスク
オッセオインテグレーションが得られなかった場合、撤去、再度埋入の可能性

臼歯部(奥歯)の
インプラント治療

タップで写真の拡大ができます。

Before
Before
After
After
Before
Before
After
After
主訴
奥歯で噛めない、歯茎が腫れてきた
治療内容
抜歯即時インプラント埋入1本、待時インプラント埋入2本、リッジプリザベーション(顎堤温存術)、GBR
治療期間
6〜8ヶ月
治療費用
1,947,000
治療の
リスク
オッセオインテグレーションが得られなかった場合、撤去、再度埋入の可能性

前歯部の
インプラント治療

タップで写真の拡大ができます。

Before
Before
After
After
Before
Before
After
After
主訴
前歯がぐらぐらする
治療内容
前歯インプラント埋入、ボンティック、GBR、インターポジショナルグラフト
治療期間
約1年
治療費用
1,738,000
治療の
リスク
創部の裂開、感染が起こった場合は骨造成のやり直しが必要になる可能性があります。

前歯部・臼歯部の
インプラント治療

タップで写真の拡大ができます。

Before
Before
After
After
Before
Before
After
After
主訴
噛めない
治療内容
上下インプラント埋入、サイナスリフト、GBR、ソケットシールド
治療期間
約1年
治療費用
5,000,000
治療の
リスク
創部の裂開、感染が起こった場合は骨造成のやり直しが必要になる可能性があります。上顎洞粘膜への穿孔が起こった場合、上顎洞炎を併発する可能性があります。

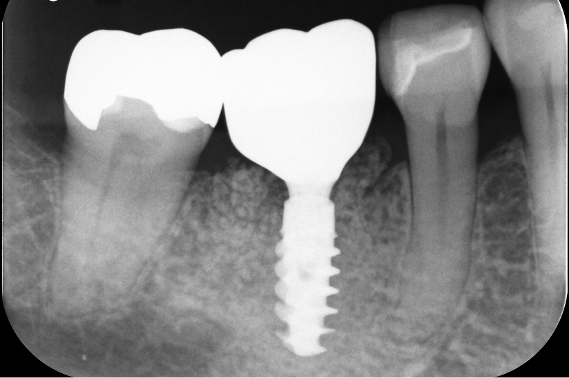
抜歯後即時に
インプラント埋入した症例

タップで写真の拡大ができます。

Before
Before
After
After
Before
Before
After
After
主訴
歯茎が腫れて、噛むと違和感がある
治療内容
抜歯即時インプラント埋入、リッジプリザベーション(顎堤温存術)、リトリートメント(再根管治療・大臼歯)、レジンコア、セラミッククラウン
治療期間
6〜8ヶ月
治療費用
1,012,000
治療の
リスク
オッセオインテグレーションが得られなかった場合、撤去、再度埋入の可能性

抜歯後の骨吸収を抑えた
インプラント症例

タップで写真の拡大ができます。

Before(俯瞰)
Before
Before(側方)
After
Under Treatment(俯瞰)
Before
Under Treatment(側方)
After
After(俯瞰)
Before
After(側方)
After
Before
Before
After
After
主訴
噛むと痛い、腫れた
治療内容
待時インプラント埋入、リッジプリザベーション(顎堤温存術)
治療期間
6ヶ月
治療費用
649,000
治療の
リスク
オッセオインテグレーションが得られなかった場合、撤去、再度埋入の可能性

切開をせずに
インプラントをした症例

タップで写真の拡大ができます。

Before
Before
After
Before
Pre-ope
After
Sinus Lift
After
Implant Placement
After
Under Treatment
主訴
前歯がグラグラしてきた
診断
臼歯部支持の喪失に伴う前歯部への過大な咬合負担
および上顎洞底の高度な歯槽骨吸収
治療方針
前歯部の動揺は、臼歯部での垂直的な咬合支持の欠如により、前歯部へ過大な負担が集中していることが原因と考えられた。

臼歯部には既存補綴装置が装着されていたが、十分な咬合支持が得られていなかったため、インプラントによる咬合再構築を計画した。

また、上顎洞底の骨吸収が高度であったため、インプラント埋入に先立ち両側サイナスリフトを行い、十分な骨量を確保した上でインプラント埋入を行う方針とした。

患者は外科的侵襲に対する不安が強かったため、最終的にはフラップレスでのインプラント埋入を計画した。
治療内容
両側サイナスリフト
フラップレスインプラント埋入(4本)
治療期間
約6〜8ヶ月(骨成熟期間を含む)
治療費用
1,600,000
結果
十分な骨造成が得られ、フラップレスによる低侵襲なインプラント埋入が可能となった。術後経過も良好で、咬合支持の再構築による機能回復が得られている。
治療の
リスク
シュナイダー膜の穿孔、上顎洞炎、骨量不足により追加処置が必要となる可能性
考察
高度な骨吸収症例では、インプラント埋入と同時に骨造成を行う方法も選択肢となる。 本症例では骨量の確実な獲得と安全性を優先し、サイナスリフトを先行する段階的治療を選択した。

その結果、十分な骨量が確保され、最終的にフラップレスによる低侵襲なインプラント埋入が可能となった。外科的侵襲を可能な限り抑えながら、安全性と長期的安定性を両立した治療につながった症例である。

臼歯部(奥歯)単独インプラントで
他の天然歯を守った症例

タップで写真の拡大ができます。

Before
Before
After
Before
Before
Before
After
Before
主訴
噛むと痛い、歯茎が腫れてきた
治療内容
抜歯即時インプラント埋入、リッジプリザベーション(顎堤温存術)
治療期間
6〜8ヶ月
治療費用
649,000
治療の
リスク
オッセオインテグレーションが得られなかった場合、撤去、再度埋入の可能性

骨造成により
理想的な骨幅を回復させた
インプラント症例

タップで写真の拡大ができます。

Before
Before
Before
After
Under Treatment(俯瞰)
After
Under Treatment(俯瞰)
Before
After(側方)
Before
After(側方)
After
主訴
右下奥歯で噛むと痛みがある
診断
歯周病による歯槽骨吸収および垂直性歯根破折
治療方針
遊離端欠損となるため、入れ歯またはインプラントが選択肢となる症例。 硬いものをしっかり噛みたいという希望があり、インプラントを選択した。

また、水平的な骨吸収が認められたため、 インプラント埋入と同時にGBRを併用する方針とした。
治療内容
抜歯即時インプラント埋入およびGBR
治療期間
約6〜8ヶ月(骨造成を伴うため)
治療費用
1,500,000
結果
水平的に十分な骨幅が獲得され、インプラントの安定も良好に得られている。
治療の
リスク
創部の早期裂開が生じた場合、移植材の除去および再手術が必要となる可能性、下顎神経麻痺、出血・血腫
考察
骨量が不足する症例においては、GBRを先行して行う方法も選択肢となる。
本症例では抜歯窩からの血液供給も利用し、インプラント埋入と同時にGBRを行うことで、良好な骨造成と治癒が得られた。

その結果、治療期間の短縮と外科的侵襲の低減が可能となった。

骨の厚み不足を
最小限の骨造成で対処した
インプラント症例

タップで写真の拡大ができます。

Before
Before
After
After
主訴
左上にインプラント治療を希望
診断
上顎洞底までの骨高径が不足した中間欠損
治療方針
抜歯後の歯槽骨は良好に治癒していたが、 単独インプラント埋入に必要な骨高径がやや不足していた。

骨量の状態から大規模なサイナスリフトは不要と判断し、 低侵襲であるソケットリフトを併用したインプラント埋入を計画した。
治療内容
インプラント埋入およびソケットリフト
治療期間
約3ヶ月(骨造成を伴うため)
治療費用
650,000
結果
上顎洞底の挙上が得られ、インプラントは適切な位置に安定して埋入されている。
治療の
リスク
シュナイダー膜の穿孔、上顎洞炎
考察
骨量が不足する症例においては、サイナスリフトなどの大規模な骨造成を行う方法もある。

本症例では骨量を適切に評価した上で低侵襲なソケットリフトを選択することで、外科的侵襲を抑えつつ安全に処置を行うことが可能であった。

適切な術式選択により、予知性の高いインプラント治療が可能となる。

リッジプリザベーションを用いて
外科処置の回数を最小限に抑えた
抜歯即時インプラント埋入症例

タップで写真の拡大ができます。

左上
Before
Before
After
After
右下

タップで写真の拡大ができます。

Before
Before
After
After
主訴
歯ぐきの腫れと咬合時痛
診断
垂直性歯根破折に伴う歯槽骨吸収および根尖性歯周炎
治療方針
複数歯にわたり破折および感染が認められた症例。

破折歯については保存困難と判断し抜歯、 隣接歯については感染源除去のため再根管治療を行う方針とした。

また、抜歯部位には骨吸収が認められたが、初期固定が得られると判断し、 抜歯即時インプラント埋入およびリッジプリザベーションを併用した。
治療内容
抜歯即時インプラント埋入およびリッジプリザベーション、リトリートメント(再根管治療・小臼歯/大臼歯)、ファイバーポストコア、セラミッククラウン
治療期間
約6ヶ月
治療費用
2,000,000
結果
骨吸収を伴う症例であったが、抜歯即時埋入と骨保存処置により骨量の維持・回復が得られた。また、軟組織の退縮も最小限に抑えられ、機能的・審美的に良好な結果が得られている。
治療の
リスク
オッセオインテグレーション不良による再手術の可能性
考察
骨吸収を伴う症例では、抜歯後に骨保存処置を行い治癒を待ってからインプラント埋入を行う方法も選択肢となる。

本症例では初期固定が得られると判断し、抜歯即時埋入を選択することで、治療期間の短縮と軟組織の維持を両立することができた。

また、感染源の除去と補綴設計を含めた包括的な治療により、長期的な安定が期待できる症例である。

当院での治療をご検討の方へ

インプラント治療は失ってしまった噛み合わせを取り戻す有効な治療法です。すでに多くの実績が積み重ねられ安全性は確立しています。しかし、闇雲にインプラントを埋入するだけでは一旦は噛めるようになるものの、術後にトラブルが起きることもあり大変な思いをした方々もいらっしゃるというのが現実です。

まずは天然歯の温存を図り、最終手段としてインプラントが存在します。インプラント治療をする際は、術後トラブルがなく長期安定が得られる設計や口腔粘膜環境の構築、メインテナンスが重要です。

当院では様々な選択肢を患者様に提示し、リスクやメリットをご理解いただいたうえで治療方法を決定していただいております。診療相談やセカンドオピニオンも承っておりますので、まずはお気軽にご予約ください。

新着情報Information

アクセスAccess

浅草線・日比谷線「人形町駅」から徒歩30秒

〒103-0013 
東京都中央区日本橋人形町3丁目8-2 ミハマビル2F