診療時間 日/祝
10:00 ~ 13:30
15:00 ~ 19:30

東京都中央区日本橋人形町3丁目8-2 ミハマビル2F

人形町で予防歯科をお探しの方へ

「定期的にクリーニングを受けているのに、気づいたら歯周病が進行していた」
そのような経験はありませんか?

予防歯科は単なるクリーニングではありません。本来の目的は、虫歯・歯周病の予防と“早期発見・早期対応”によって歯を長く守ることです。

  • 検査に基づいた診断
  • 状態の変化を捉える継続的な評価
  • 一人ひとりに合わせたメンテナンス

を組み合わせた「本質的な予防歯科」を提供しています。

最初にお伝えしたいこと

一般的な予防歯科との違い

予防歯科というと、定期的な歯石除去(クリーニング)をイメージされる方が多いかと思います。
しかし、それだけでは十分な「予防」とは言えません。

なぜなら

  • 歯ぐきの中の炎症は見た目では分からない
  • 初期の虫歯は自覚症状がない
  • 歯周病は静かに進行する

ためです。
当院では、これらを見逃さないために検査と経時的な比較を重視した管理を行っています。

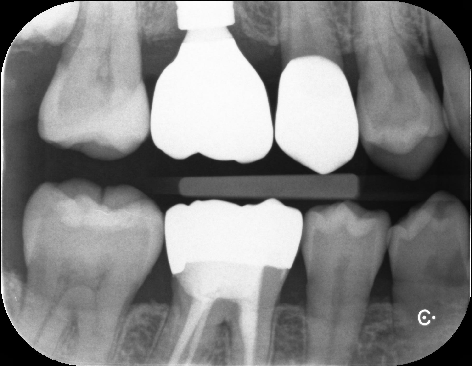
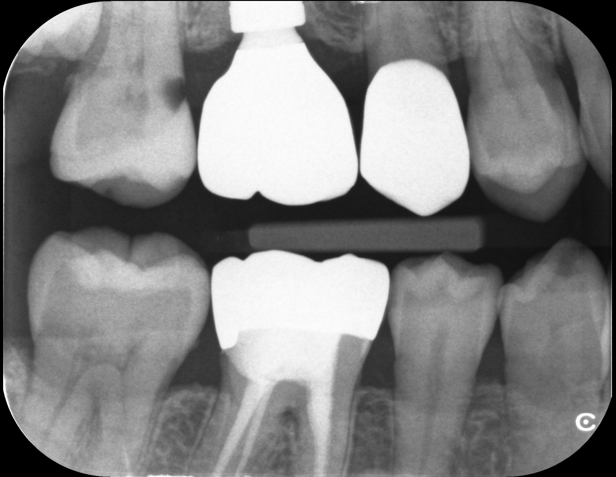
定期的なレントゲン検査について

当院では必要に応じて、最小限の被ばく線量でレントゲン検査を行います。
これは一般的な健康診断と同じ考え方です。毎年同じ項目を検査し、その変化を見ることで、異常を早期に発見し、必要に応じて再評価を行います。

歯科においても同様に、同じ条件・同じ規格で撮影したレントゲンを継続的に比較することで、

  • ごく初期の虫歯
  • 歯周病による骨の変化

などのわずかな変化に気づくことが可能になります。これにより

  • 早期発見
  • 最小限の治療
  • 歯の長期保存

につなげています。

最初にお伝えしたいこと

レントゲン撮影の重要性

下記の写真は初診時から1年毎に撮影したレントゲンです。
写真の赤丸部分を見ていただくとわかるように、レントゲンで白く見えていた部分が黒くなってきていることがわかります。虫歯が大きくなってくると、このような変化がレントゲンで確認できるようになります。こういった変化を早期に捉え、最小限の治療介入で終わらせることが歯の長期予後につながります。

レントゲンはあくまで撮影した時点での切り抜きに他なりません。小さな虫歯があっても、2年前から同じ大きさなのであれば急いで治療をする必要性はありません。

規格性のあるレントゲン撮影は、必要のない治療を回避し、治療が必要な部分だけを早期介入するための重要な資料となります。

2024

2025

2026

当院で予防歯科の特徴

01.

状態に応じた十分な処置時間の確保

当院では原則として60分のメンテナンス時間を確保しています。ただし、

  • 状態が安定している方は45分
  • 歯周病が進行している方はしっかり75分のご予約時間をいただく

など、お口の状態に応じて柔軟に時間を調整しています。
予防歯科では検査・評価・処置・指導を丁寧に行う必要があり、十分な時間の確保が質に直結します。

02.

専門性の高い歯科衛生士による処置

当院の歯科衛生士は日本臨床歯周病学会 会員です。拡大鏡(ルーペ)を使用して診療を行っています。

拡大鏡(ルーペ)を使用することで

  • プラークや歯石を正確に確認
  • 必要な部分のみ選択的に除去

が可能になります。
これにより

  • 歯や歯ぐきを不必要に傷つけるリスクを軽減
  • 処置中の痛みの軽減
  • 治療の精度向上

につながります。

03.

数値で管理する「見える予防」

  • 歯周ポケット検査(歯と歯ぐきの間の溝の深さ)
  • BOP(歯周ポケットを検査する際に出血があるかどうか)

歯周ポケットは「歯周病の進行度」を示し、BOPは「歯ぐきの炎症の程度(活動性)」を示す重要な指標です。特にBOPが高い状態は「歯周病・虫歯の進行リスクが高い状態」を意味します。

当院ではBOP10%以下にコントロールすることを一つの目標とし、状態の変化を継続的に評価していきます。
必要に応じてPCR(プラーク付着率)も測定し、より精密な管理を行います。

初診時
1ヶ月後
3ヶ月後
04.

生活習慣や食生活も問診を行います

虫歯や歯周病は、日々の生活習慣と密接に関係しています。
当院では

  • 食事内容
  • 間食の頻度
  • 生活リズム

なども含めて評価を行います。
例えば

  • 当直や夜勤など不規則な生活がある方 → 歯磨きのタイミングが不安定になりやすい
  • 間食や飲食回数が多い方 → 歯が再石灰化する時間が不足し、虫歯リスクが上昇
  • 炭酸飲料や酸性飲料を習慣的に摂取している方 → 酸蝕症や知覚過敏のリスクが上昇

といったように、同じ「磨いている方」でもリスクは大きく異なります。
当院ではこうした背景まで含めて評価し、

  • なぜ再発するのか
  • どこに原因があるのか
  • どうすれば防げるのか

を明確にし、一人ひとりに合わせた予防をご提案します。

エアフローで精密なクリーニングを行います

当院では、より精密なクリーニングを希望される方に対して、エアフロー・プロフィラキシス・マスターによるクリーニングをご案内しています。
エアフローは、微細なパウダーと水流を用いて

  • 歯面のバイオフィルム除去
  • 歯周ポケット内の清掃

を効率的に行うことができる機器です。
これにより

  • 歯や歯ぐきへの負担を抑えながら清掃できる
  • 従来の器具では届きにくい部位までアプローチ可能

といったメリットがあります。

なお、エアフローは保険診療で行うクリーニングとは内容が異なるため、ご希望やお口の状態に応じてご案内しております。
詳細については、来院時にお気軽にご相談ください。

最初にお伝えしたいこと
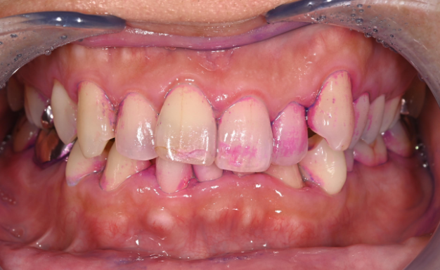
Before
Before
After
Before

治療後のメンテナンス体制も充実しています

治療が終わったとき、多くの方が「これで安心」と思います。しかし実際にはそこがスタートです。歯科治療の本当の価値は、その状態をどれだけ長く維持できるかにあります。

当院では

  • 検査データの蓄積
  • リスクに応じた通院間隔の設定
  • 長期的な口腔管理

を通じて、患者様の歯を守り続けます。

人形町で本質的な予防歯科をお探しの方へ

当院の予防歯科は、単なるクリーニングではありません。

検査・診断・予防・早期対応を一体化した診療により、最小限の治療で歯を長く守ることを目指しています。ご自身の歯を大切にしたいとお考えの方は、ぜひ一度ご相談ください。

新着情報Information

アクセスAccess

浅草線・日比谷線「人形町駅」から徒歩30秒

〒103-0013 
東京都中央区日本橋人形町3丁目8-2 ミハマビル2F