診療時間 日/祝
10:00 ~ 13:30
15:00 ~ 19:30

東京都中央区日本橋人形町3丁目8-2 ミハマビル2F

自家歯牙移植という選択肢をご存じですか?

歯を失ったときの治療法というと、インプラントを思い浮かべる方が多いのではないでしょうか。実はご自身の歯を別の場所に移植して活用する「自家歯牙移植(歯の移植)」という治療法があるのをご存じでしょうか。
「そんな方法があるなんて初めて聞いた」という方も少なくありませんが、最新のエビデンスでは6年以上の長期経過における生存率は75.3%〜91%と良好であることが報告されています。

エビデンス
https://pubmed.ncbi.nlm.nih.gov/26696138/

成功率を高めるためには術中移植する歯の歯根表面にある”歯根膜”の損傷を最小限にすることが重要です。そのための事前準備(3Dレプリカの活用など)や高度な治療技術が要求されるため、どこでも可能な治療ではありません。 しかし”抜歯=インプラント”ではなく、”ご自身の歯を最大限に活かす”という観点から自家歯牙移植は大切な選択肢の一つとなり得ます。 当院では、かけがえのない天然歯をできる限り保存するために、必要に応じて自家歯牙移植もご提案しています。

最初にお伝えしたいこと

インプラントしか選択肢がないと思っていませんか?

長年通っていた歯科医院で、突然「この歯は残せないので、インプラントが必要です」と言われた。そのような経験に、戸惑いや不安を感じている方は少なくありません。

  • ちゃんと治療して定期検診にも通っていたのに、なぜ抜歯になるのだろう?
  • そもそも、この歯は抜歯するべきなの?
  • インプラント以外に治療の選択肢はないのか?

このように様々な疑問や不安をお持ちになられる方がいらっしゃいます。
治療費用も高額になる上に、納得できない気持ちがある。そのような方は後悔しないために、診療カウンセリングやセカンドオピニオンを受けることをおすすめします。

当院では、親知らずなどご自身の歯を移植して活用する『自家歯牙移植』を始め、そもそも歯を抜く必要があるのか?という適切な診断からサポート致します。

最初にお伝えしたいこと

当院の虫歯治自家歯牙移植とは?

自家歯牙移植とは、ご自身の健康な歯(多くの場合は親知らず)を、別の場所に移植して再利用する治療法です。たとえば奥歯を抜歯しなければならない場合、残っている親知らずを移植することで、天然の歯と同じような機能を維持することが可能になります。

この治療では、歯根膜(しこんまく)という天然の組織を同時に残すことができます。そのため、インプラントにはない「噛んだ感覚」を守ることができるという特徴があります。なにより自分自身の歯だからこそ、身体との調和も自然で、より快適に日常生活を送ることができます。また将来インプラントが必要になる可能性があるにしても、それを少しでも先に伸ばしたい比較的年齢が若い方とっては最適な治療です。

最初にお伝えしたいこと

インプラントとの違い・メリットデメリット比較

インプラントと自家歯牙移植は、それぞれ異なるメリットと特徴を持つ治療法です。

自家歯牙移植
  • 使用するもの自分の歯(親知らず等)
  • 骨との結合歯根膜による自然な結合
  • 咬合感覚天然歯と同様
  • メリット自然な噛み心地/自分の歯を活かせる/骨の成長を誘導できる
  • デメリット適応に条件がある/将来骨癒着(アンキローシス)や歯根吸収を起こす可能性がある。
インプラント
  • 使用するもの人工歯根
  • 骨との結合骨と直接結合
  • 咬合感覚天然歯に比べると強く噛んでしまう場合がある
  • メリット汎用性が高い/親知らず不要
  • デメリット骨量不足の場合、骨造成が必要

自家歯牙移植が向いている方

  • 抜歯が必要と言われたが、できるだけ天然歯の感覚を残したい方
  • 親知らず(or 移植に適した歯)が残っている方
  • 歯槽骨の状態が良好な方(※精密検査で確認が必要です)
  • インプラント以外の治療法を希望している方
  • 他院での提案に疑問があり、セカンドオピニオンを検討している方

自家歯牙移植は誰にでも適用できるわけではありませんが、可能性がある場合は選択肢として大きなメリットがあります。

治療の流れ

  1. 初診・カウンセリング(ご希望や現在のお悩みをお伺いします)
  2. 精密検査(CT撮影などによる診断)
  3. 適応判断と治療計画のご提案
  4. 抜歯・移植手術
  5. 定着期間(約1〜3か月)
  6. 根管治療や咬合調整、補綴処置(必要に応じて)
  7. メンテナンス

根未完成歯の場合は根管治療を行わない場合があります。また歯根の炎症性吸収を予防するため根管治療は術前に行う場合や、術後数週間で実施する場合があります。

矯正的移動は長期予後を大きく損なわないことがわかっているため、移植後に矯正治療を行うことも可能です。通常の矯正治療で見られる表面吸収が見られても臨床的意義は小さい範囲に留まると報告されています。

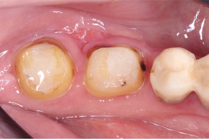
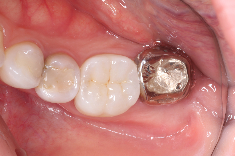
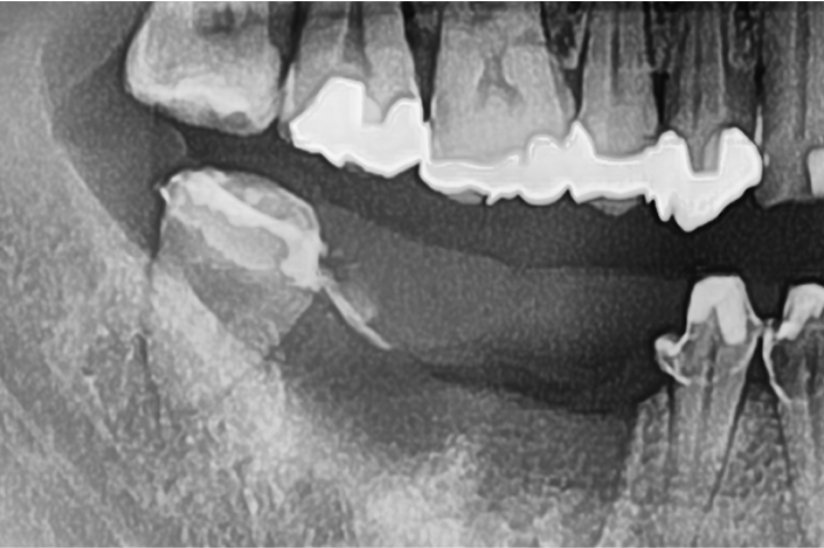
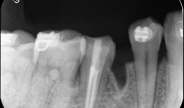
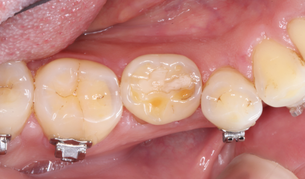
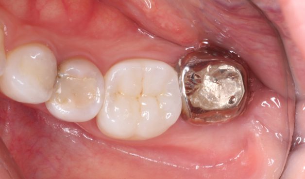
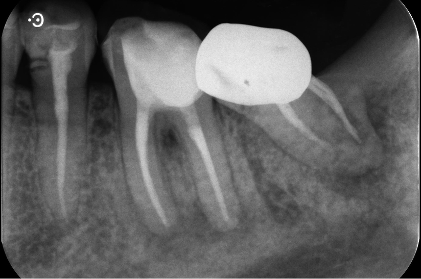
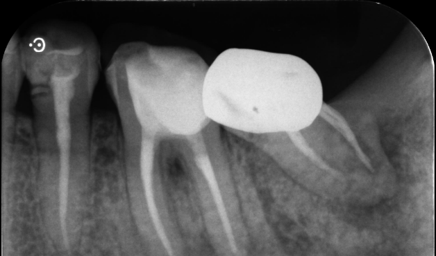
自家歯牙移植の症例紹介

自家歯牙移植で
天然歯を有効活用した症例

タップで写真の拡大ができます。

Before
Before
After
After
主訴
歯を抜いた後インプラントが必要と言われた。
治療内容
自家歯牙移植 / イニシャルトリートメント(大臼歯)レジンコア / ジルコニアクラウン / 概形成・TEK作成 / 精密形成・TEKリマージン
治療期間
3ヶ月
治療費用
462,000
治療の
リスク
術後しばらくしてから骨性癒着、外部吸収を起こす可能性があります。

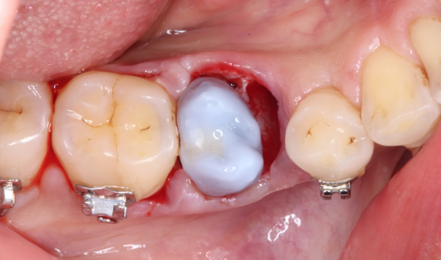
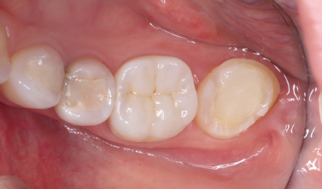
自家歯牙移植で
インプラントと入れ歯を回避した症例

タップで写真の拡大ができます。

Before
Before
After
After
Before
Before
After
After
主訴
インプラントはできないが、入れ歯もしたくない 。
治療内容
自家歯牙移植 / イニシャルトリートメント(大臼歯)レジンコア
治療期間
3ヶ月
治療費用
550,000
治療の
リスク
術後しばらくしてから骨性癒着、外部吸収を起こす可能性があります。

親知らずを活用し天然歯を保存した症例

タップで写真の拡大ができます。

Before
Before
Under Treatment
Under Treatment
After
After
主訴
インプラントはできないが、入れ歯もしたくない
治療内容
自家歯牙移植 / イニシャルトリートメント(大臼歯)レジンコア
治療期間
3ヶ月
治療費用
550,000
治療の
リスク
術後しばらくしてから骨性癒着、外部吸収を起こす可能性があります。

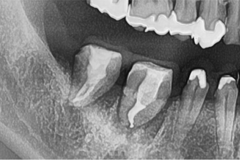
自家歯牙移植と根管治療で
天然歯を保存した症例

タップで写真の拡大ができます。

Before
Before
Under Treatment
Under Treatment
After
After
主訴
歯を残せないと言われた。インプラントは先延ばしにしたい
治療内容
自家歯牙移植 / イニシャルトリートメント(大臼歯)レジンコア
治療期間
2ヶ月
治療費用
308,000
治療の
リスク
術後しばらくしてから骨性癒着、外部吸収を起こす可能性があります。

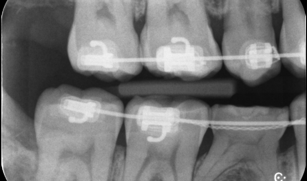
矯正のために抜歯した乳歯を
移植歯として活用した症例

タップで写真の拡大ができます。

Before
Before
Before
Before
After
Before
Under Treatment
主訴
矯正のために乳歯の抜歯が必要だが、便宜抜歯で抜く歯を活かせないか
治療内容
自家歯牙移植 / イニシャルトリートメント(小臼歯)レジンコア
治療期間
2ヶ月
治療費用
253,000
治療の
リスク
術後しばらくしてから骨性癒着、外部吸収を起こす可能性があります。

セカンドオピニオンのご案内

インプラントの話が出ているけれど、本当にそれでよいのか不安。この歯が抜歯になった理由や原因をしっかり理解してから、納得した上で次の治療に進みたい。

そうお考えの方にこそ、ぜひセカンドオピニオンをご活用いただきたいと考えています。当院では、患者さま一人ひとりに寄り添い、納得して選択いただける治療法をご提案しています。ぜひ一度ご相談ください。

新着情報Information

アクセスAccess

浅草線・日比谷線「人形町駅」から徒歩30秒

〒103-0013 
東京都中央区日本橋人形町3丁目8-2 ミハマビル2F